Volume 17, Issue 3 (May-Jun 2023)                   mljgoums 2023, 17(3): 1-7 | Back to browse issues page


XML Print


Download citation:
BibTeX | RIS | EndNote | Medlars | ProCite | Reference Manager | RefWorks
Send citation to:

Patel U, Jagrit N, Bhavsar T, Panchal S, Parikh K, Nayak H. Correlation of Diagnostic Yield with Laboratory Parameters and Histopathological Examination in Clinically Suspected Cases of Mucormycosis in Post-COVID-19 Patients: A Single-Center Study in Ahmedabad, India. mljgoums 2023; 17 (3) :1-7
URL: http://mlj.goums.ac.ir/article-1-1549-en.html
1- Dept of Biochemistry, AMC MET Medical College, L.G Hospital- Gujrat University, Maninagar, Ahmedabad-380008, Gujarat, India , ushapatel2002@gmail.com
2- Dept of Pathology, AMC MET Medical College, L.G Hospital- Gujarat University, Maninagar, Ahmedabad-380008, Gujarat, India
3- Dept of Microbiology, AMC MET Medical College, L.G Hospital- Gujarat University, Maninagar, Ahmedabad-380008, Gujarat, India
4- ept of Preventive and social medicine, AMC MET Medical College, L.G Hospital- Gujarat University, Maninagar, Ahmedabad-380008, Gujarat, India
Full-Text [PDF 441 kb]   (1345 Downloads)     |   Abstract (HTML)  (5692 Views)
Full-Text:   (1540 Views)
INTRODUCTION
The coronavirus disease 2019 (COVID-19) pandemic was caused by the severe acute respiratory coronavirus 2 (SARS-CoV-2), which has taken a great humanitarian and economic toll on the recovery state due to the immunocompromised status of patients. All COVID-19 infections have a proclivity to spread to rhinomaxillary and rhinoorbitocerebral extension. Common fungi called mucormycetes cause a serious angioinvasive infection, which is the third most common invasive fungal infection, followed by aspergillosis and candidiasis (1). Mucormycetes are characterized by the presence of broad aseptate hyphae (coenocytic mycelia) and the formation of zygospores. The order Mucorales includes several species involved in rhinocerebral, pulmonary, cutaneous, gastrointestinal, and other less frequent infections in both immunocompetent and immunocompromised individuals and are characterized by a tendency to disseminate. Mucormycosis, also known as black fungus, is a complication (2-4) in post-COVID-19 patients in India. There are two main types of fungal rhinosinusitis with zygomycosis: invasive and noninvasive. The invasive form may be acute or chronic which may be with granulomatous or non-granulomatous inflammation (4). In post-COVID-19 complications, there was a sudden increase in the development of dreaded fungal infections due to hypoxia, diabetes, new-onset hyperglycemia, steroid-induced hyperglycemia, diabetic ketoacidosis, high iron levels (raised ferritin), and decreased phagocytic activity in leucocytes as well as other risk factors such as prolonged hospitalization with or without mechanical ventilation (5). Globally, the prevalence of mucormycosis ranges from 0.005 to 1.7 per million people. However, its prevalence is 80 times higher (0.14 per 1000) in India compared to developed countries in the COVID-19 era (6-8). India has the second largest population with diabetes mellitus and use of steroids (9). However, there is a need for more studies in the context of COVID-19 complications during the pandemic linked with mucormycosis in India, primarily because the fatality rate with mucormycosis is very high. In particular, the intracranial involvement of mucormycosis increases the fatality rate to as high as 90% (10). The present study was carried out to understand the natural history, clinical behavior, and sudden changes in incidence of mucromycisis. The correlation of laboratory data and histopathology findings helps clinicians determine the progression of mucormycosis for a better outcome for patients and reducing mortality. Several similar studies are performed suggesting mucormycosis infection in post-COVID-19 patients (11). This study aimed to investigate histopathological findings in clinically suspected cases of rhinomaxillary mucormycosis and to evaluate the correlation of biomarkers and direct 10% KOH and fungal culture in clinically suspected cases of mucormycosis.

MATERIALS AND METHODS
This retrospective observational study was carried out from January 1st to June 30th, 2021 on post-COVID-19 clinically suspected cases of mucormycosis. All the post-COVID-19 patients suspected of mucormycosis at the L.G. Hospital (in India) during the study period were included. The study was approved by the AMC MET Institutional Review Board, and informed consent was taken from all patients. Biopsies were taken from post-COVID-19 patients who had clinical signs of mucormycosis with positive radiological findings who required hospitalization or surgery. A positive diagnosis of mucormycosis was concluded based on the histopathology, direct KOH examination, and culture of received biopsy specimens. Tissue samples were examined grossly and processed as per the routine paraffin section method. The samples were collected in normal saline and 10% formalin and later processed in the Department of Microbiology and Pathology, respectively. The direct demonstration of fungal elements in the clinical sample is useful in establishing a diagnosis. The microscopic examination of specimens in 10–20% KOH wet mount (12) was performed to identify characteristic broad, aseptate, or sparsely septate, ribbon-like hyphae with wide-angle or right-angle branching at irregular intervals. Culture was done on sabouraud dextrose agar. After colony growth, lactophenol cotton blue examination from culture showed broad, aseptate, and ribbon like hyphae, rhizoids, and spore-filled sporangiophores. Representative tissue slices were processed and stained for histological analysis with hematoxylin and eosin after adequate fixing. Wright-Giemsa and periodic acid–schiff were also used for staining. The presence of certain fungus was assessed and interpreted using the methods described previously (13-15). Frozen sections and histopathology sections with their specific stains were performed as necessary, and each section was associated with and graded as per fungal elements, neutrophilic infiltrate, granulomatous response, tissue necrosis, and angioinvasion. These sections exhibit characteristic broad, pauci-septate or aseptate, ribbon-like hyphae with wide-angled branching, diagnostic of mucormycosis at histopathology. The aforementioned observations led to the diagnosis of fungal sinusitis (16,17), in which hyphal forms of the fungus were found in the sinusoidal mucosa or submucosa, blood vessels, or bone.
The biochemical parameters in serum were assessed by collecting samples in plain vacutainers and processing them in an ARCHITECT ci8200 after proper calibration and controls. Lactate dehydrogenase (LDH) estimation was based on the principle of oxidation of L-lactate to pyruvate and hydrogen, and NAD+ acts as a hydrogen acceptor converted into NADH2+ (the reference range is 125 to 220 U/L). The chemiluminescent microparticle immunoassay was used to estimate serum ferritin level (reference range: 21.81-274.66 ng/mL for males and 4.63-204 ng/mL for females). Procalcitonin (PCT) estimation was based on the principle of chemiluminescent microparticle immunoassay (reference range: <0.5 ng/mL). However, for D-dimer estimation, the samples were collected in citrate vacutainers and the turbidometric immunoassay was utilized (reference range: 0-198 ng/mL). Moreover, C-reactive protein (CRP) was quantified using a turbidometric immunoassay (reference range: <10 mg/L).
Data were entered into Microsoft Excel and analyzed by appropriate qualitative and quantitative statistical tests.
RESULTS
Of 50 biopsies from rhinomaxillary, rhino-orbital, and cerebral regions of clinically-suspected mucormycosis patients, 35 cases were confirmed for mucormycosis post-COVID-19 (Table 1). A confirmed diagnosis denoted a microbiological/histopathological diagnosis and/or presence of angioinvasion. Despite the aggressive invasion of vessels by the Zygomycetes, blood cultures were rarely positive. Among these cases, 35 (70%) showed invasive fungal elements in histopathology.
Table 1- Confirmation of mucormycosis by various methods
Cases Mucormycosis  in histopathology Direct 10% KOH Fungal culture
Positive (confirmed) 35 (70%) 30 (60%) 28 (56%)
Negative (suspected) 15 (30%) 20 (40%) 22 (44%)
Biopsies received for histopathological examination (n=35) Sex Total %
Biopsy site Males (n=16) Females (n=19) 35 100
Nasal cavity 10 13 23 65.71
Maxilla and nasal cavity 02 05 07 20
Eye ball, maxilla,  and nasal cavity 01 01 02 5.72
Maxilla, nasal cavity, and cerebral discrete 01 00 01 2.85
Others including the right upper lobe bronchus, anterior hard palate, etc. 02 00 02 5.72

Necrosis (100%) was most frequently linked with angioinvasion (37.1%). Five cases of rhino-orbital-cerebral zygomycosis died, and 13 of 14 patients with limited sinonasal sickness survived. Meanwhile, only 7 of 19 patients with intraorbital or cerebral spread died (p=0.0037).
According to the findings, inflammatory biomarkers (serum ferritin, serum LDH, CRP, and D-dimer) were higher in confirmed cases of mucormycosis than in other cases, while PCT levels were normal in all cases but slightly lower in confirmed cases. Out of 35 patients with diabetes, 28 (80%) had uncontrolled blood sugar, HbA1C level of more than 9±3.1%, and random blood sugar of >140 mg/dL. The outcomes and follow-up of mucormycosis patients were difficult to assess considering the acute outbreak in the COVID era. During the study period, 30 of 35 cases (85.71%) improved/unknown follow-up, and the remaining 5 cases (14.29%) deceased.
Table 3- Significance of histopathological variables as prognostic indicators in cases of rhino-orbital-cerebral zygomycosis
Significant variables Non-significant variables  
Variable Number (%) Variable Number (%)  
Intraorbital  or intracranial spread 4 (11.4%) Degree of granulomatous inflammation 5 (14.25%)  
Degree of angioinvasion 13 (37.1%) Degree of bone invasion 13 (13%)  
Necrosis 35 (100%)  
Mucormycosis
status
Serum ferritin (ng/mL) LDH (IU/mL) D-dimer (ng/mL) PCT (ng/mL) CRP (mg/L)
Confirmed cases (n=35)
1128 ±505
624 ±194 774 ±346 0.13 ±0.08
46.75 ±41.8
Others suspected cases (n=15)
282 ±93

201 ±47
396.5 ±305 0.30 ±0.25 13.54 ± 8.7

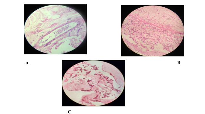
Figure 1- Histological images of tissue samples. A) Angioinvasion by fungal hyphae; B) wide-angled, aseptate, irregular fungal hyphae invading soft tissue; C) necrotic tissue with broad irregular aseptate fungal hyphae.
DISCUSSION
Rhino-orbito-cerebral zygomycosis refers to the spectrum of the disease, which usually starts in the sinonasal tissue, progresses to the orbits, and finally affects the central nervous system (rhino-cerebral disease) (1,8,15). Most studies on this emerging disease in India and other parts of the world are retrospective. The present study described the clinical characteristics of the site(s) involved, laboratory data, and histopathological findings to help clinicians understand the disease progression in mucormycosis patients. When the duration of signs and symptoms is equal to or less than 4 weeks and vascular invasion is prominent, mucormycosis is classified as acute; when the duration of signs and symptoms is greater than 4 weeks and vascular invasion is absent or minimal, mucormycosis is classified as chronic (17). Due to the sudden increase in the incidence of acute exacerbation of post-COVID-19 mucormycosis, only acute cases were enrolled in the present study. There was no difference between the patients in terms of gender. The patients' age ranged from 24 to 75 years. Fungal elements were seen in direct 10% KOH examination in 60% of the cases and fungal growth on culture was observed in 70% of confirmed cases, which is similar to the findings of a similar study (11). The disease's involvement of the brain was noted in 18% of the cases and w:as char:acterized by hemiplegia, altered mental state, stupor, and coma. The most common risk factor was diabetes mellitus, which is in line with the results of previous studies (9).
All cases in the present study were of the invasive type as shown in figure 1. There seemed to be a site-wise overlap between the nasal/maxillary sinus and rhino-orbital/rhino-cerebral variety. In our study, the survival rate was 93% for the sinonasal form, while earlier studies reported survival rates of 66.5% (18), 60% (19), and 5.71% (20). It can be concluded that the severity of the zygomycosis involvement greatly influences the disease's prognosis.
In our study, necrosis was linked to angioinvasion in 37.1% of the cases. Necrotic tissues had the highest fungal organism density. In a study by Ashina et al., only 48% cases survived and angioinvasion was observed in 51% of the patients (21). Mucosal necrosis and external ophthalmoplegia were seen in 48% and 59% of the cases, respectively. The outcome of patients had no association with perineural or neural invasion, and its importance in the spread of disease is still unknown (22). In these cases of rhino-orbito-cerebral zygomycosis, histopathologic factors were considered prognostic markers because 5 of 35 patients died, which indicates a poor prognosis. All patients with mild to significant granulomatous inflammation survived. Therefore, even if the results have not reached statistically significant levels, the prognosis of the patients who had florid granulomatous inflammation was better. Multinucleate giant cell granulomas could be associated with giant cell arteritis and foreign body granulomas, with a better prognosis (23). Therefore, the survival rate reduces as the fungal load and angioinvasion in the tissue and their extension up to orbito-cerebral tissue rise. On a microscopic level, all zygomycosis patients displayed variable degrees of necrosis, and the density of fungal organisms was greater in necrotic tissues. Therefore, it may be inferred that a thorough sample of necrotic tissue is required to detect fungal components. The survival rate of patients, however, dropped as the level of bone marrow invasion rose.
In patients with post-COVID-19 invasive mucormycosis, inflammatory biomarkers such as serum ferritin, serum LDH, CRP, and D-dimer were greater than the normal range, whereas PCT was within the reference range. Diabetes mellitus is still the primary risk factor for mucormycosis worldwide, with a death rate of 46% overall (24-26), which is close to the results of the present study.
Radiology examination indicates mucosal thickening, multiple sinus involvement, absence of air-fluid levels, and patchy bony wall destruction in cases of rhino-orbito-cerebral zygomycosis. Greater severity of COVID-19 is frequently linked to an increased risk of developing mucormycosis and diabetes mellitus. It is common to encounter uncontrolled hyperglycemia and the onset of diabetic ketoacidosis as a result of corticosteroid use. Acidosis's low pH creates a favorable environment for the growth of mucor spores. A diabetic patient is particularly more susceptible to mucormycosis when using steroids.
CONCLUSION
The study underlines the relevance of increased awareness for early detection of rhinocerebral zygomycosis by histological features paired with microbiological evidence and raised inflammatory biomarkers in order to prevent adverse outcomes for patients. Conditions such as diabetes and unmonitored corticosteroid use may cause opportunistic fungal infections and an outbreak of mucormycosis in post-COVID-19 patients. It can be conclude that raised metabolic markers, direct 10% KOH examination, and histological features including angioinvasion as well as rhino-orbital and cerebral extension might assist doctors in diagnosis, progression, and survival rate. For improved results and patient survival, repeated debridement and surgical intervention may be required.
ACKNOWLEDGEMENTS
The authors would like to thank Dr. Rupal Mehta, Dr. Mahesh Madole, Dr. Meena Kadam, and Dr. Meeta Bathala, for their immense support during the study.
DECLARATIONS
The authors received no financial support for the research, authorship, and/or publication of this article.
Ethics approvals and consent to participate
The study was approved by the AMC MET Institutional Review Board (Ahmedabad, India), and informed consent was taken from all patients.
CONFLICT OF INTEREST
The authors declare that there is no conflict of interest regarding the publication of this article.
Research Article: Original Paper | Subject: Mycology
Received: 2022/07/12 | Accepted: 2023/01/25 | Published: 2023/05/21 | ePublished: 2023/05/21

References
1. Ribes JA, Vanover-Sams CL, Baker DJ Zygomycetes in human disease. Clin Microbio Rev. 2002; 13: 236-301. [View at Publisher] [DOI] [PubMed] [Google Scholar]
2. Chakrabarti A, Das A, Panda N, Das S, Gupta KL, Sakhuja V. Ten years' experience in zygomycosis at a tertiary care centre in India. J Infect. 2001; 42:261-6. [View at Publisher] [DOI] [PubMed] [Google Scholar]
3. Drouhet E, Ravisse P. Entomophthoromycosis. Curr Topical Med Mycol. 1993; 5: 215-245. [PubMed]
4. Rogers TR. Treatment of Zygomycosis: current and new options. J Antimicrob Chemother. 2008; 61: 35-40. [View at Publisher] [DOI] [PubMed] [Google Scholar]
5. Ge Song, Guanzhao Liang, Weida Liu. Fungal Co-infections associated with global COVID-19 pandemic: a clinical and diagnostic perspective from China .Mycopathologia. 2020; 185(4): 599-606. [View at Publisher] [DOI:10.1007/s11046-020-00462-9] [PubMed] [Google Scholar]
6. A. Skiada, I. Pavleas, M. Drogari-Apiranthitou. Epidemiology and diagnosis of mucormycosis: an Update J Fungi. 2020; 6(4): 265. [View at Publisher] [DOI:10.3390/jof6040265] [PubMed] [Google Scholar]
7. Chander J, Kaur M, Singla N. Mucormycosis: battle with the deadly enemy over a five-year period in India. J. Fungi. 2018; 4 (2):46. [View at Publisher] [DOI:10.3390/jof4020046] [PubMed] [Google Scholar]
8. Prakash H, Chakrabarti A. Global epidemiology of mucormycosis. J Fungi. 2019; 5(1): 26. [View at Publisher] [DOI:10.3390/jof5010026] [PubMed] [Google Scholar]
9. Avatef Fazeli M, Rezaei L, Javadirad E, Iranfar K, Khosravi A, Amini Saman J, et al. Increased incidence of rhino-orbital mucormycosis in an educational therapeutic hospital during the COVID-19 pandemic in western Iran: An observational study. Mycoses. 2021; 64: 1366- 1377. [View at Publisher] [DOI:10.1111/myc.13351] [PubMed] [Google Scholar]
10. Deutsch PG, Whittaker J, Prasad S. Invasive and non-invasive fungal rhinosinusitis-a review and update of the evidence. Medicina. 2019; 55(7):319. [View at Publisher] [DOI:10.3390/medicina55070319] [PubMed] [Google Scholar]
11. Sree Lakshmi I, Kumari BS, Jyothi C, Devojee M, Padma Malini K, Sunethri P, et al. Histopathological Study of Mucormycosis in Post COVID-19 Patients and Factors Affecting it in a Tertiary Care Hospital. Int J Surg Pathol. 2023; 31(1): 56-63. [View at Publisher] [DOI:10.1177/10668969221099626] [PubMed] [Google Scholar]
12. Chander J. Chander J. Fungal reagents and stainings. Textbook of Medical Mycology. 3rd ed. 2009. New Delhi Mehta. 514-521. [View at Publisher] [Google Scholar]
13. Gamble M. Bancroft DJ, Gamble M. The hematoxylin and eosin, Theory and Practice of Histological Techniques. 6th ed. 2008. New York Elsevier. 121-123. [View at Publisher] [DOI:10.1016/B978-0-443-10279-0.50016-6] [Google Scholar]
14. MyersBR, FredenburghLJ, GrizzkWE, BancroftDJ, GambleM. Carbohydrates, Theory and Practice of Histological Techniques. 2008.6th ed. New York. Elsevier. 171
15. Bartlett JH. Bancroft DJ, Gamble M.. Microorganisms, Theory and Practice of Histological Techniques, 20086th ed New York Elsevier pg. 320
16. Hoang K, Abdo T, Reinersman JM, Lu R, Higuita NIA. A case of invasive pulmonary mucormycosis resulting from short courses of corticosteroids in a well-controlled diabetic patient. Med Mycol Case Rep. 2020; 29: 22-24. [View at Publisher] [DOI:10.1016/j.mmcr.2020.05.008] [PubMed] [Google Scholar]
17. Ferguson BJ. Definitions of fungal rhinosinusitis. Otolaryngol Clin North Am. 2000; 33: 227-35. [View at Publisher] [DOI:10.1016/S0030-6665(00)80002-X] [PubMed] [Google Scholar]
18. Granville L, Chirala M, Cernoch P, Ostrowski M, Truong LD. Fungal sinusitis: Histologic spectrum and correlation with culture. Hum Pathol 2004;35:474-81. [View at Publisher] [DOI:10.1016/j.humpath.2003.10.024] [PubMed] [Google Scholar]
19. Abedi E, Sismanis A, Choi K, Pastore Pl. Twenty-five years' experience treating cerebro-rhino-orbital mucormycosis. Laryngoscope. 1984;94:1060-2. [View at Publisher] [DOI:10.1288/00005537-198408000-00013] [PubMed] [Google Scholar]
20. Yohai RA, Bullock JD, Aziz AA, Markert RJ. Survival factors in RhinoOrbito-cerebral Mucormycosis. Surg Ophthal. 1994; 39:3-20. [View at Publisher] [DOI:10.1016/S0039-6257(05)80041-4] [PubMed] [Google Scholar]
21. Goel A, Kini U, Shetty S. Role of histopathology as an aid to prognosis in rhino-orbito-cerebral zygomycosis. Indian J Pathol Microbiol. 2010; 53: 253-7. [View at Publisher] [DOI:10.4103/0377-4929.64342] [Google Scholar]
22. Frater JL, Hall GS, Procop GW. Histologic features of zygomycosis: emphasis on perineural invasion and fungal morphology. Arch Pathol Lab Med. 2001;125:375-8. [View at Publisher] [DOI:10.5858/2001-125-0375-HFOZ] [Google Scholar]
23. Castillo L, Hofman V, Betis F, Piche M, Roger PM, Santini J, et al. Longterm survival in acute rhinocerebral mucormycosis with giant cell arteritis and foreign body granulomas. Pathol Res Pract. 2001;197:199-203. [View at Publisher] [DOI:10.1078/0344-0338-00034] [Google Scholar]
24. Yu B, Li X, Chen J, Ouyang M, Zhang H, Zhao X, et al. Evaluation of variation in D-dimer levels among COVID-19 and bacterial pneumonia: a retrospective analysis. J Thromb Thrombolysis. 2020; 50(3): 548-557. [View at Publisher] [PubMed] [Google Scholar]
25. Banchini F, Cattaneo GM, Capelli P. Serum ferritin levels in inflammation: a retrospective comparative analysis between COVID-19 and emergency surgical non-COVID-19 patients. World J Emerg Surg. 2021; 16(1): 9. [View at Publisher] [DOI:10.1186/s13017-021-00354-3] [PubMed] [Google Scholar]
26. John TM, Jacob CN, Kontoyiannis DP. When Uncontrolled Diabetes Mellitus and Severe COVID-19 Converge: The Perfect Storm for Mucormycosis. J Fungi (Basel). 2021; 7(4): 298. [View at Publisher] [DOI:10.3390/jof7040298] [PubMed] [Google Scholar]

Add your comments about this article : Your username or Email:
CAPTCHA

Send email to the article author


Rights and permissions
Creative Commons License This work is licensed under a Creative Commons Attribution-NonCommercial 4.0 International License.