Volume 17, Issue 2 (Mar-Apr 2023)                   mljgoums 2023, 17(2): 45-48 | Back to browse issues page


XML Print


Download citation:
BibTeX | RIS | EndNote | Medlars | ProCite | Reference Manager | RefWorks
Send citation to:

Jabbari A, Afghani R, Enayati A. Intraperitoneal Rupture of Infected Cyst in a Patient with Polycystic Kidney Disease after Kidney Transplant: A Case Report. mljgoums 2023; 17 (2) :45-48
URL: http://mlj.goums.ac.ir/article-1-1389-en.html
1- Ischemic Disorders Research Center, Golestan University of Medical Sciences, Gorgan, Iran , ali.jabbari2020@yahoo.com
2- Department of Surgery, 5Azar Hospital, Golestan University of Medical Science, Gorgan, Iran
3- Ischemic Disorders Research Center, Golestan University of Medical Sciences, Gorgan, Iran
Full-Text [PDF 312 kb]   (1638 Downloads)     |   Abstract (HTML)  (5678 Views)
Full-Text:   (1888 Views)
INTRODUCTION
Autosomal dominant polycystic kidney disease (ADPKD) is a common progressive disease with multisystem involvement. It affects 1 in every 400 to 1,000 people. It is usually diagnosed between the ages of 30 and 50 when signs and symptoms start to appear (1,2). Multiple renal cysts are commonly seen in ADPKD which may lead to renal function impairment. Pain is a common complication of ADPKD mainly due to kidney or liver cysts. In addition, the spleen, heart, pancreas, and brain may be affected in the course of the disease (1). Almost all people with ADPKD who have kidney failure present with some degree of heart failure due to chronic systemic hypertension (2,3).
There are various complications in ADPKD including intracystic bleeding,  gross hematuria, obstruction, nephrolithiasis, and infection (2). Infection of a single cyst within a polycystic kidney is a serious complication of ADPKD, which leads to abscess formation, systemic inflammatory response, sepsis, and death. The infections are mainly acquired through the urinary tract and are more common in females (1,3). Rupture of an infected renal cyst is uncommon, and renal cyst rupture into the peritoneal cavity is rare. Early diagnosis and appropriate intervention are necessary to prevent lethal complications. We report a rare case of peritonitis due to the intraperitoneal rupture of an infected cyst in a 42-year-old woman with polycystic kidney disease.

CASE PRESENTATION
A 42-year-old woman with a medical history of ADPKD and kidney transplantation 7 months before with constant progressing abdominal pain and vomiting was admitted to an educational hospital affiliated with the Golestan University of Medical Sciences. She complained of abdominal distention, bloating, and a change in bowel habits from 2 days ago. The patient's medications consisted of prednisolone, losartan, amlodipine, calcitriol, gabapentin, ganciclovir, tacrolimus, mycophenolic acid, omeprazole, ferrous sulfate, Nephro-vite, and erythropoietin.
On physical examination, bilateral enlarged masses of flanks, generalized tenderness, and distention of the abdomen were found.  Body temperature was 38.5 °C, and pulse rate was 108 beats/minute.
Laboratory data were as follows: white blood cell count: 17,400 cells/µl (polymorph nuclear: 86%) with 25% bandemia, C-reactive protein: +4, blood urea nitrogen: 60 mg/dl, urea: 60 mg/dl, creatinine: 1.8 mg/dl, fasting blood sugar: 213 mg/dl, uric acid: 7. 5 mg/dl, alkaline phosphatase: 275 IU/l, calcium: 9. 9 mg/dl, albumin: 3. 4 gr/dl, and lactate dehydrogenase: 538 IU/l.
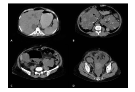
Abdominal computed tomography (CT) scan showed pneumoperitoneum and free fluid in the pelvis and abdomen, plus a 98 mm dominant inflated cyst in the lower pole of the right kidney. Moreover, multiple liver cysts and collapse of the distal segment of the ileum were noted (Figure 1).
After appropriate fluid, electrolyte management, and rescue care, antibiotics were prescribed and the patient was scheduled for laparotomy. The rupture of an infected cyst of the right polycystic kidney into the peritoneal cavity was the cause of peritonitis in this patient. She successfully underwent right radical nephrectomy (32×21cm and 3,300 gr) (Figure 2). 
In the postoperative period, she was under close observation by a nephrologist, urologist, and intensivist. The postoperative period was uneventful, and the patient was discharged from the hospital after a week.
Table 1- Comparison of our case with previously reported cases
Authors Year Age (years) Sex Background & history Diagnostic method Surgical approach Culture result Outcome Refernce
Migali et al. 2008 56 Male ADPKD and right sided cadaveric kidney transplantation with homolateral nephrectomy Ultrasound, CT, PETa, MRIb, laparotomy Left nephrectomy Blood and urine cultures:
E. coli
Survived (6)
Zahir et al. 2013 52 Female Bilateral polycystic kidneys with end stage renal failure on hemodialysis X-ray abdomen, Ultrasound, CT, laparotomy Right simple nephrectomy Peritoneal puncture:
E. coli
Survived (1)
Hammami et al. 2010 66 Male Polycystic left kidney and liver disease X-ray, CT, laparotomy - Urine culture:
E. coli
Expired (5)
Afghani et al 2019 42 Female ADPKD and kidney transplantation 7 months before that CT, laparotomy Right radical nephrectomy Urine culture:
E. coli
Survived (Present study)

Figure 1- CT scans of the patient. A: free air in the peritoneal cavity; B: bilateral polycystic kidney; C: ruptured infected cyst of the right kidney; D: free fluid in the pelvic cavity

Figure 2- The resected specimen (A, right polycystic kidney), weight of the resected kidney (B), and diameter of the resected specimen (C)
DISCUSSION
Both kidneys are affected by ADPKD (3, 4). This multisystem disorder is characterized by progressive renal cysts and extra-renal manifestations including cysts in other organs, such as the liver,  intracranial aneurysm,  mitral valve prolapse, and abdominal wall hernia (5). An ADPKD-induced kidney cyst could block the urinary tract and lead to obstruction. This causes bacteria growth and kidney infection. Usually, ADPKD occurs when the size of the cysts reaches half an inch or more. Abdominal pain, renal mass, systemic hypertension,  urinary tract infection (UTI), stroke, cardiovascular involvement, and colonic diverticulitis have been reported as common complications of ADPKD (2). Diagnosis is made by using ultrasound, CT scan, magnetic resonance imaging, and genetic tests.
Cyst infection within the kidneys is uncommon but lethal and is more observed among females. This indicates that these infections are acquired retrograde from the urinary tract (3). Intraperitoneal rupture has been previously reported in three case reports from Tunisia (5), Kuwait (1), and Belgium (6) (Table 1).
The clinical manifestations of peritonitis are fever, generalized abdominal pain, repeated episodes of nausea, and vomiting. Transplant patients might not manifest typical signs and symptoms of an infection; therefore, diagnosis may be confounded. Other challenges faced in such patients include drug interactions, modification of dose, maintenance of immunosuppression to avoid allograft rejection, as well as surgical intervention in immunocompromised patients. Severe immunosuppression is a risk factor for UTI in transplant recipients, and women are at a higher risk. Patients may present with asymptomatic UTI, which is mainly caused by Escherichia coli. All UTIs in kidney transplant recipients should be considered complicated and require standard treatment protocol (7).
Antibiotic therapy is the first step in the treatment of renal cyst infection. When primary antibiotic therapy fails, drainage of the infected cyst is recommended. In medically fit patients for surgery and patients who present with complications of the infected cyst, radical surgery and nephrectomy is the procedure of choice. The best outcome is achieved after nephrectomy (8, 9).
CONCLUSION
The rupture of an infected cyst of the right polycystic kidney into the peritoneal cavity was the cause of peritonitis in our case patient. She successfully underwent right radical nephrectomy. The postoperative period was uneventful, and the patient was discharged from the hospital after a week. In kidney transplant patients, it is necessary to evaluate the signs and symptoms of UTI during the initial antibiotic treatment for choosing the standard and correct treatment protocol.
ACKNOWLEDGMENTS
The authors would like to acknowledge all colleagues in the Clinical Research Development Unit (CRDU) and the staff of the surgery room of 5 Azar Hospital for their cooperation.
DECLARATIONS
FUNDING
The authors received no financial support for the research, authorship, and publication of this article.
Ethics approvals and consent to participate
Not applicable.
CONFLICT OF INTEREST
The authors declare that there is no conflict of interest regarding the publication of this article.
Research Article: Case Report | Subject: Pathology
Received: 2021/06/2 | Accepted: 2021/09/8 | Published: 2023/03/14 | ePublished: 2023/03/14

References
1. Zahir M, Al Muttairi H, Upadhyay SP, Mallick PN. Rupture in polycystic kidney disease presented as generalized peritonitis with severe sepsis: a rare case report. Case Report in Urology. 2013;2013:Article ID 927676 [View at Publisher] [DOI:10.1155/2013/927676] [PubMed] [Google Scholar]
2. Torres VE, Harris PC, Pirson Y. Autosomal dominant polycystic kidney disease. Lancet. 2007 Apr 14;369(9569):1287-1301. [View at Publisher] [DOI:10.1016/S0140-6736(07)60601-1] [PubMed] [Google Scholar]
3. Desouza RM, Prachalias A, Srinivasan P, O'Doherty M, Olsburgh J. Differentiation between infection in kidney and liver cysts in autosomal dominant polycystic kidney disease: use of PET-CT in diagnosis and to guide management. Transplant Proc. 2009;41(5):1942-5. [View at Publisher] [DOI:10.1016/j.transproceed.2008.10.102] [PubMed] [Google Scholar]
4. Schwab SJ, Bander SJ, Klahr S. Renal infection in autosomal dominant polycystic kidney disease. Am J Med. 1987 Apr;82(4):714-8. [View at Publisher] [DOI:10.1016/0002-9343(87)90005-2] [PubMed] [Google Scholar]
5. Hammami M, Guirat A, Ksibi H, Azzaza M, Rekik N, Beyrouti MI. Intraperitoneal rupture of renal cyst in autosomal dominant polycystic kidney disease. North American journal of medical sciences. 2010;2(5):238-40. [PubMed] [Google Scholar]
6. Migali G, Annet L, Lonneux M, Devuyst O. Renal cyst infection in autosomal dominant polycystic kidney disease. Nephrology Dialysis Transplantation. 2008;23(1):404-5. [DOI:10.1093/ndt/gfm665]
7. Karuthu S, Blumberg EA. Common infections in kidney transplant recipients. Clin J Am Soc Nephrol. 2012; 7(12): 2058-70. [DOI:10.2215/CJN.04410512] [PubMed]
8. Lantinga MA, Casteleijn NF, Geudens A, de Sevaux RG, van Assen S, Leliveld AM, et al. Management of renal cyst infection in patients with autosomal dominant polycystic kidney disease: a systematic review. Nephrology Dialysis Transplantation. 2016;32(1):144-50. [View at Publisher] [DOI:10.1093/ndt/gfv452] [PubMed] [Google Scholar]
9. Suwabe T, Araoka H, Ubara Y, Kikuchi K, Hazue R, Mise K, et al. Cyst infection in autosomal dominant polycystic kidney disease: causative microorganisms and susceptibility to lipid-soluble antibiotics. European Journal of Clinical Microbiology Infectious Diseases. 2015;34(7):1369-79. [View at Publisher] [DOI:10.1007/s10096-015-2361-6] [PubMed] [Google Scholar]

Add your comments about this article : Your username or Email:
CAPTCHA

Send email to the article author


Rights and permissions
Creative Commons License This work is licensed under a Creative Commons Attribution-NonCommercial 4.0 International License.